Step1無料相談

矯正に関する、あらゆるご相談に無料でお答えしています。
「矯正のやり方をもっと知りたい。」 みたいなお問合せでもOKですし、「私の場合、どうなるのかなぁ?」「私の場合、費用はどれ位かかるんだろう?」みたいな個別のご相談でも大丈夫です。さらに「他の歯医者の意見も聞きたい」でも結構です。
ご相談は、メール・LINE・ご来院と、3つの方法があります。もちろん、まずはLINE相談、その後来院してもっと詳しい説明を、でも構いません。

当院はホワイトワイヤー矯正ができます。


ワイヤー矯正とは、ブラケットという歯の表面にくっつける装置とワイヤーを使った矯正方法です。
それぞれの歯の表面にブラケットを取り付けて、ブラケットをつなぐようにワイヤーを通して歯並びを整えていきます。
以前は金属製のブラケットを使うことが多かったのですが、現在では白いセラミック製の目立たないブラケットを使用することが多いです。
当院も白いセラミックブラケットを使用しております。
ワイヤーに関しても以前は銀色のワイヤーが主流でしたが、近年は白いワイヤーを使用することも多くなっています。
当院では基本、ホワイトワイヤーでしています。金属のワイヤーですることもできます。
また、歯の裏に装置を付ける裏側矯正もしています。
| 白いワイヤー | 金属のワイヤー | 裏側矯正 |
|---|---|---|
![]() |
![]() |
![]() |
|
メリット・デメリット
|
メリット・デメリット
|
メリット・デメリット
|

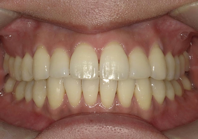
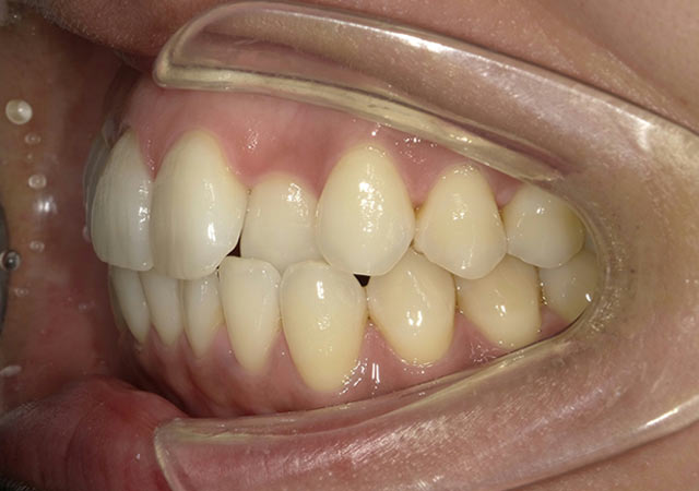
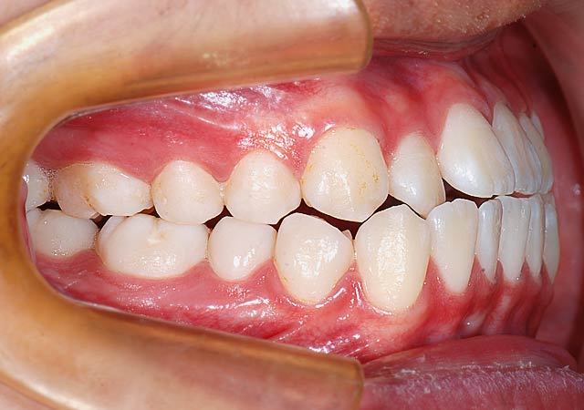
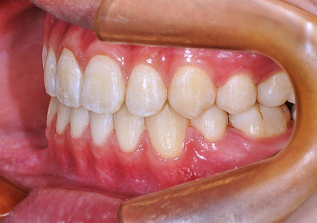
ワイヤーの金属色がやや目立つため見た目が気になる方には、審美性が高く、目立たない「ホワイトワイヤー矯正」をお勧めしています。
ホワイトワイヤーを使うと、歯の表側に装置を付けていても目立ちにくく、至近距離で見ると気付きますが、少し離れて見ると矯正しているとわかりません。
白いワイヤーを使い、ブラケットも白いセラミックブラケットを使用しますので、歯の色になじんでかなりカモフラージュ出来ます。
完全に見えないわけではないので、かなり近づくとわかりますが、ぱっと見ただけではわかりにくいです。ワイヤーの銀色が気になっていた方は白いワイヤーを使うことをお勧めしています。




「目立たない方法で歯並びを治したい」とおっしゃる患者さんが殆どですので、この白いセラミックブラケットを実際にご覧になると、透明ではないにせよ、思っていたほどには目立たないことがわかって驚かれます。
































































【治療内容】ワイヤー矯正で治療しました。
【費用】ワイヤー部分矯正 26万円(税抜)/ワイヤー矯正 75万円(税抜)
【リスク】矯正装置が口の中に当たって口内炎が出来やすくなる方もおられます。
※症例紹介の費用は掲載時点の金額です。治療費用は改定される場合がありますので、最新の料金はお問い合わせください。
ワイヤー矯正にはメリットもデメリットもありますので、じっくり検討して決めて下さいね。
1. 確実に歯が動く
マウスピース矯正は取り外しのため、入れるのを忘れると動きませんが、ワイヤーは付けっぱなしのため、確実に動きます。マウスピース矯正では治しにくい歯並びも、ワイヤー矯正では治すことができます。
2. 全ての症例に適応できる適応範囲が広い治療法。ひどい出っ歯や受け口でも治る。
3. マウスピースと違って、装置の管理や洗浄が必要ない。
4. 取り外しの手間がない。(その反面、取り外しができないというデメリットもある)
1. ワイヤーを付けてる事が他人から見えてしまう(ただし、白いワイヤーは見えにくい)
2. 歯ブラシが最初はしにくい(ただし、1週間くらいで慣れる)
3. 装置が舌やほっぺにあたって痛い(ただし、1〜2週間で慣れる)
また、裏側矯正の場合は、舌の痛みがしばらく続く事もある。
4. 歯ブラシがちゃんとできないと虫歯になるリスクもある。
5. 金属アレルギーの方はできない事がある。
6. 装置が外れる可能性もあり、外れると歯科医院で再度付け直さないといけない。

ワイヤーを付けた直後は、歯に痛みがあったり、食べ物がワイヤーと歯の間にはさまったりするので、かなり食べにくいです。最初は柔らかい食べ物が中心になります。
また、歯ブラシも慣れるまでは大変なので、歯ブラシが面倒くさくて、間食を含め、食べるる気もなくなります。(その間は本当にダイエット代わりになって痩せます。笑)
ただ、わずか1週間で殆んどの方は慣れて、固い物でも肉でも食べれるようになります。なので、結論は食事に関しては心配されなくて大丈夫です!


矯正に関する、あらゆるご相談に無料でお答えしています。
「矯正のやり方をもっと知りたい。」 みたいなお問合せでもOKですし、「私の場合、どうなるのかなぁ?」「私の場合、費用はどれ位かかるんだろう?」みたいな個別のご相談でも大丈夫です。さらに「他の歯医者の意見も聞きたい」でも結構です。
ご相談は、メール・LINE・ご来院と、3つの方法があります。もちろん、まずはLINE相談、その後来院してもっと詳しい説明を、でも構いません。
![]()

![]()

お口の中をチェックし、歯並びの状態を見ていきます。
具体的に歯並びのどんな点が気になるのか?
どの歯が気になるのか?
どんな方法を希望されているのか?(取り外し式や裏側矯正なのか?)
いつまでに治したいのか?
骨格そのものは気にならないのか?
など、気にされていることをじっくりお聞きします。
その後実際にドクターがお口の中を拝見し、現状の歯並びの状態や骨格の状態をくわしく調べます(必要な場合のみレントゲン撮影をします)。
![]()

検査結果を元に治療方法のご提案や治療期間・費用・支払方法などのご説明をします。
ご質問などがございましたら、お気軽に何でもお尋ねください。
実際の矯正のやり方や期間、費用などをご説明します。ご質問もたくさんして頂き、全ての疑問を解消します。
検査結果を元に患者さんにとって最適な方法をご提案いたします。
治療されるかどうかは、この情報を元に、ご自宅でご家族とも相談の上じっくり考えて頂きます。
この段階で断って頂いても何の問題もありません。初診カウンセリングで説明した内容をご理解いただき、十分納得されてから治療に進むかどうかお決めいただけます。
初診カウンセリングの所要時間は40分程度で、費用は無料です。

![]()
Step4いよいよ治療開始です

待ちに待った治療開始です。これから歯並びが綺麗になるので期待してください。
成長発育期のお子さんは症状によって開始時期がさまざまです。治療するにはまだ早いと判断した場合には、定期的に通院していただき経過観察をしながら最適な時期を待って開始します。
成長の落ち着いた高校生〜成人の方は歯の状態に問題がなければいつでも矯正を始められます。
![]()
Step5型取り・矯正装置の作成・矯正の器具の装着

インビザラインでは口腔内スキャナーiTeroでお口の中をスキャンをします。
インビザラインや裏側矯正などではまず型取りをして、オーダーメイドで装置を作成し、その後完成した装置を装着します。
ワイヤーやブラケットなどの矯正装置を装着します。
初めは締め付け感や、噛んだ時などに痛みを感じることがありますが、時間の経過とともに解消していきますのでご安心ください。
歯型を取ります。それをアメリカに送ってマウスピースを作ります。マウスピースは透明で目立ちません。

歯にワイヤーを取り付けます。表の場合と裏の場合があります。



あごを大きくするプレートという装置を入れることが多いです。
![]()
Step6ワイヤーなどの器具の調整・交換

1ヶ月に1度程度来院していただき、
ワイヤーやゴムの調整や交換をしたり、矯正の進み具合を確認します。
月に1回くらい来院して頂き、ワイヤーなどの器具の調整、交換を行います。
ワイヤーなどの装置をつけていると装置と歯の間に食べかすが詰まりやすくなっています。虫歯や歯周病を予防し歯の健康を保つため、定期的に歯のクリーニング、フッ素塗布、歯みがき指導を行います。
![]()
Step7無事治療が終了しました

![]()

歯がきれいにに並んだら矯正装置を外します。
その後は後戻りを防ぎ、正しい歯並びを安定させるためにリテーナーという保定装置を入れます。
リテーナーは簡単に取り外しが可能です。保定期間は通常1年以上で、その間の通院は2〜6ヶ月に1度位です。
装置を外してそのままにすると歯が後戻りすることがあります。それを防ぐための方法をお伝えします。
普通は透明のマウスピース(リテーナー)をお口の中に入れて頂きます。通常1〜2年はリテーナーを使っていただきます。
歯並びを安定させる期間(保定期間)の通院は2ヶ月〜6ヶ月に1回程度です。
![]()
Step9歯並びを保つとともにメンテナンスをします

矯正が終わってからも定期健診で歯並びや歯の状態をチェックします。
メンテナンスもおまかせください。
きれいになった歯並びを保つとともに、むし歯・歯周病にならないようメンテナンスします。
矯正が終わって、せっかく歯並びがきれいになったのに、そのあとでむし歯になってしまう方がおられます。
当院の目標は一生を通じてむし歯、歯周病にならないよう患者さんの健康を保つことです。メンテナンスの方法は主に歯のクリーニングを定期的にすることです。当院で行っているクリーニングはかなり効果があり、むし歯、歯周病になる確率が大幅に下がります。

矯正治療中に起こる痛みは、ほとんどが「歯が動くことで起きる痛み」で、ワイヤーをつけかえて調整を行う時などに起こりやすいです。
大抵は3〜4日で痛みがひきますが、我慢できない時は痛み止めを飲んでいただきます。
歯が動く時の痛み以外に、矯正装置が頬や舌に当たって痛む時があり、その場合はご自身で装置の出っ張りにロウ、ワックスを付けていただくと痛みや違和感が減ります。詳しくは担当医からご説明いたします。

抜歯するかどうかですが、前歯の重なりがどのくらいの程度なのかによります。例えば、前歯がすごく重なってる方は歯を抜かなければいけない場合が多いです。またすごく八重歯がすごくきつい方も歯を抜かなければいけません。
前歯と八重歯の両方が結構重なってる場合も歯を抜かないといけないかも知れません。普通は前歯の重なりが全体で8mm以上あると抜歯になる可能性が高くなります。
抜歯が必要かどうかは初診カウンセリング時に、実際に歯の状態を見せていただいたうえでお話させていただきます。
矯正治療はある程度費用がかかります。
もちろん安い方が良いに決まってますが、安易に安い医院を選ぶのは危険です。
安い医院には必ず、安いなりの理由があります。






とかです。
まとめ
当院は、常に矯正治療の勉強をしていて、最先端の知識を吸収し、治療の仕上がりが良い矯正治療を行っています。
担当する歯科医師も経験をたくさん積んだ上で治療にあたっています。矯正治療の実績は断トツ日本一ですのでどうぞ安心されて下さいね。
▲当院のドクター勉強会の様子でも費用がかかると支払いができないという問題が出てきます。
そこで、当院では、治療の質を落とすことなくお支払いを楽にする独自の方法を行っています。



デンタルローンにより最大120回まで の分割払いに対応したプランです。
金利手数料は実質年率3.6%とお安く設定されております。
当院独自ではありませんが、当然各種クレジットカードもご利用いただけます。





※歯列矯正は保険が適用されない自由診療です
ワイヤー(銀)
上下(全顎)¥750,000(税込¥825,000)/
上か下(片顎)¥480,000(税込¥528,000)
ホワイトワイヤー
上下(全顎)¥795,000(税込¥874,500)/
上か下(片顎)¥490,000(税込¥539,000)
上か下(片顎)(前歯4〜8歯のみ)
銀色のワイヤー¥260,000(税込¥286,000)
ホワイトワイヤー¥280,000(税込¥308,000)



当院は、世界的に権威のあるマウスピース矯正「インビザライン」で、
7年連続「パープル・レッドダイヤモンド」を受賞しています
(※パープルは1500症例以上で認定/当院は2620症例)。
この実績は、日本全国でも数えるほどの医院しか取得していません。
また、グループ全体では1989年からの累計で71,294人以上の矯正治療実績があり、 2025年の“1年間”だけで初診相談に訪れた患者様は8,120人にのぼります。
経験と実績があるからこそ、あなたに合った治療方法を丁寧にご提案できます。
はじめての方も、安心してご相談ください。

神戸矯正歯科グループは、日本で最も長くインビザライン治療を提供してきた医院として、インビザライン・ジャパンならびに米国アライン・テクノロジー本社から第1位の表彰を受けました。
日本での導入初期から数多くの症例に携わってきた経験を活かし、見た目の美しさはもちろん、噛み合わせや治療後の安定性にも配慮したインビザライン治療をご提案しています。



最近は、マウスピース矯正を取り扱う医院も増えてきましたが、医院によっては対応できる治療法が限られている場合もあります。
当院では、ワイヤー矯正・マウスピース矯正・裏側矯正・部分矯正・輪郭手術(セットバック手術)など、さまざまな治療法に対応しているため、お口の状態やご希望に合わせて、最適な治療方法をご提案することが可能です。
「矯正ってこんな方法もあるんだ」と、気軽にご相談いただけるような雰囲気づくりも大切にしています。


矯正治療が長くなる原因のひとつは、予約が取りづらくて通院が伸びてしまうこと。
当院は矯正歯科医が多数在籍し、土日・夜8時まで診療しているため、予約が取りやすくスムーズに治療が進みます。
さらに、治療のスタート前から歯を動かす順番や量を精密にシミュレーション。 無駄のない動きになるように綿密な計画を立てることで、治療期間の短縮につながっています。
マウスピース矯正では、通常よりも短い間隔での交換(5日や3日ペース)を実施しており、より早く歯が動く仕組みを取り入れています。
これは「シュアスマイルVPro」という装置の高周波振動によって、歯の周りの骨の代謝を高め、痛みを抑えながら動きを促進する技術があるからこそ実現できています。



矯正治療中に虫歯が見つかったり、抜歯が必要になることもありますが、多くの矯正専門医院では、そういった治療を他院に紹介されるケースが少なくありません。
当院では、虫歯治療・抜歯・歯ぐきのケアなども、すべて院内で対応できます。
矯正以外の治療もできるから、わざわざ別の病院に行く必要がなく、通院の負担も少なくて済みます。
「ここだけで全部できる」という安心感も、当院が選ばれている理由のひとつです。


土曜日も朝9時から夜8時まで診療しているので予約が取りやすいです。
万が一キャンセルなどで変更した場合も予約が取りやすいので、治療が計画通りスムーズに進みます。
※医院によって休診日・診療時間が異なります。


インビザラインのマウスピースに専用のホワイトニングの薬剤を入れて、歯に装着します。
そうすると、マウスピースを入れている間についでに同時に歯のホワイトニングができてしまうんです。
歯並びがキレイになって、さらに歯も白くなって本当にキレイな歯になります!
ワイヤー矯正に関するご質問・お悩みなど、どんな小さなことでも丁寧にお答えしますので、お気軽にご相談くださいね。

医療法人真摯会 総院長
医学博士
松本 正洋













三宮クローバー歯科クリニック(ミント神戸院) 院長
坂野 弘子

クローバー歯科クリニック神戸マルイ院 院長
今福 京(たかし)

西宮クローバー歯科・矯正歯科 院長
廣石 勝也



国立 長崎大学歯学部卒業

松本歯科大学卒業 松本歯科大学大学院卒業

国立徳島大学歯学部卒業
2004年 国立徳島大学 歯学部 歯学科入学








クローバー歯科クリニックは、
神戸矯正歯科グループ併設の
矯正歯科クリニックです。
お電話かネットからご予約ください。
クローバー歯科・矯正歯科
神戸マルイ院
神戸市中央区三宮町1-7-2 神戸マルイ5F

三宮クローバー歯科・矯正歯科
(ミント神戸院)
神戸市中央区雲井通7-1-1 ミント神戸15F

西宮クローバー歯科・矯正歯科
日曜日もやっています
兵庫県西宮市高松町8-25
阪急西宮ガーデンズ プラス館3階

当院は梅田には4医院ございます。
梅田クローバー歯科・矯正歯科
日曜日もやっています
大阪市北区梅田1-1-3-1800 大阪駅前第3ビル18F
診療時間
月〜日
9:00〜13:00/14:00〜20:00
休診日:祝日のみ
梅田クローバー歯科・矯正歯科アネックス
日曜日もやっています
大阪市北区梅田1-1-3-1800 大阪駅前第3ビル18F
診療時間
月〜日
9:00〜13:00/14:00〜20:00
休診日:祝日のみ
カトレア歯科矯正歯科・美容
クリニック
(クローバー歯科クリニックイーマ院)
大阪府大阪市北区梅田1-12-6 E-ma(イーマ)6階
歯科Tel.カトレア歯科矯正歯科・美容クリニック【矯正相談A】
カトレア歯科矯正歯科・美容クリニック【矯正相談B】
※相談数が多いためA・Bに分かれていますが内容は同じです。
まずAで空き状況をご確認の上、ご希望の日付がなければBもご確認ください。
美容Tel.(輪郭手術はこちらにお電話ください)
カトレア歯科矯正歯科・美容クリニック【輪郭手術相談】
診療時間
月〜土
9:00〜13:00/14:00〜20:00
休診日:日・祝
梅田茶屋町クローバー歯科・矯正歯科
大阪市北区茶屋町15-22 アーバンテラス茶屋町C棟4階
なんばクローバー歯科・矯正歯科
日曜日もやっています
大阪市浪速区湊町1-2-3 マルイト難波ビル3F

クローバー歯科・矯正歯科
あべの天王寺院
日曜日もやっています
大阪府大阪市阿倍野区阿倍野筋1-2-30 あべのHoop4F

心斎橋クローバー歯科・矯正歯科
大阪市中央区心斎橋筋1-4-29 ココテラス心斎橋4F

京橋クローバー歯科・矯正歯科
日曜日もやっています
大阪府大阪市都島区東野田町2-6-1 コムズガーデンB1階

クローバー歯科・矯正歯科
豊中駅前アネックス
大阪府豊中市玉井町1-1-1 エトレ豊中4F
クローバー歯科豊中駅前アネックス【矯正相談】
クローバー歯科豊中駅前アネックス【小児矯正相談(小学生以下)】
診療時間
月〜土
9:00〜13:00/14:00〜20:00
休診日:日・祝

クローバー歯科・矯正歯科
豊中駅前院
大阪府豊中市玉井町1-1-1 エトレ豊中3F
診療時間
月〜土
9:00〜13:00/14:00〜20:00
休診日:日・祝

まつもと歯科・矯正歯科(吹田本院)
大阪府吹田市山田東2-1-1


高槻クローバー歯科・矯正歯科
大阪府高槻市高槻町12-23 ワキタビル2階
高槻院【矯正相談A】
高槻院【矯正相談B】
※相談数が多いためA・Bに分かれていますが内容は同じです。
まずAで空き状況をご確認の上、ご希望の日付がなければBもご確認ください。
高槻院【小児矯正相談(12才以下) A】
高槻院【小児矯正相談(12才以下) B】
※相談数が多いためA・Bに分かれていますが内容は同じです。
まずAで空き状況をご確認の上、ご希望の日付がなければBもご確認ください。
診療時間
月〜土
9:00〜13:00/14:00〜20:00
第2・第4日曜
9:00〜13:00/14:00〜18:00(矯正歯科のみ)
休診日:日・祝(矯正歯科のみ第2・第4日曜診療)

茨木クローバー歯科・矯正歯科
茨木市松ケ本町8-30 イオンモール茨木2階
