


インビザラインには年間の症例数によって認定されるプロバイダーという制度があり、
当院はその最高位の「パープルダイヤモンドプロバイダー」の医院なので安心して治療を受けて頂けます。
全国で3軒の歯科医院しかありません。
※症例紹介の費用は掲載時点の金額です。治療費用は改定される場合がありますので、最新の料金はお問い合わせください。

【治療内容】インビザラインを装着し歯並びを治しました。
【費用】インビザライン 790,000円(税抜)
【リスク】インビザラインを1日22時間入れなければいけないため、ちゃんと入れていただけない方はちゃんと治療が進みません。

【治療内容】インビザラインを装着し歯並びを治しました。
【費用】インビザライン 790,000円(税抜)
【リスク】インビザラインを1日22時間入れなければいけないため、ちゃんと入れていただけない方はちゃんと治療が進みません。

【治療内容】インビザラインを装着し歯並びを治しました。
【費用】インビザライン 790,000円(税抜)
【リスク】インビザラインを1日22時間入れなければいけないため、ちゃんと入れていただけない方はちゃんと治療が進みません。

【治療内容】インビザラインを装着し歯並びを治しました。
【費用】インビザライン 790,000円(税抜)
【リスク】インビザラインを1日22時間入れなければいけないため、ちゃんと入れていただけない方はちゃんと治療が進みません。

【治療内容】インビザラインを装着し歯並びを治しました。
【費用】インビザライン 790,000円(税抜)
【リスク】インビザラインを1日22時間入れなければいけないため、ちゃんと入れていただけない方はちゃんと治療が進みません。



パープルダイヤモンド
(1500症例以上で最高ランク。
当院は2620症例。
日本で3医院のみ)
実績アジア・オセアニア2位
1989年より歯列矯正を行っており、グループ全体で2026年現在過去症例数は71,294人以上行っているので安心できます。
2025年の“1年間”で初診の患者様が8,120人来られました。
これは日本はもとより世界の矯正歯科の中でもトップクラスの患者数です。矯正歯科認定医も15人います。
(経験の少ない医院で行って失敗してる場合も多々あります)

神戸矯正歯科グループは、「日本で最も長くインビザラインを提供している医院」として、インビザライン・ジャパンおよび米国アライン・テクノロジー本社より第1位の表彰を受けました。
日本導入初期から多くの症例に携わってきた実績と経験をもとに、見た目の美しさだけでなく、噛み合わせや将来の安定性まで見据えたインビザライン治療をご提案しています。



スマホでご自身のお口の写真を撮って、それを医院に送るだけでAIと医院が治療の進行具合をチェックします。
確実にチェックできるのでスムーズに治療が進み、治療期間が約3割短縮できます。
(また、シュアスマイルVProという装置の高周波振動で、骨の代謝を促進し、歯を早く動かすこともできます。)シュアスマイルVProについて
来院間隔も平均4ヶ月〜6ヶ月の一回の来院で済みますので大変楽です。
また、来院時の調整料(一般的には月に1回)もかかりませんので費用も安くなります。
ただし、AIモニタリング(専用アプリでの歯科医師によるチェック)には、毎週1回の歯科医師のチェックと機材本体の費用として、別途4万円ほどいただいております。
費用はかかりますが、これは歯を確実にきれいに動かすための非常に有効なシステムであり、短い治療期間と少ない通院回数を実現します。写真の撮り方もアプリが誘導してくれて簡単です。


一般的な矯正の治療期間は、2〜3年かかりますが、当院では最大50〜66%治療期間を短縮させることができます。(治療期間は患者様によって異なります)
理由は3つあります!
理由1 専用アプリを使うことによって、治療の進行具合が管理できますので、確実に歯がスムーズに動きます。

理由2 歯を動かす順番や量を、非常に綿密に計画を立てて決めているので、歯の動きに全く無駄がなく、動かす量が少ないので期間が短い。
理由3 マウスピースの交換の間隔を普通の医院よりも短く行っている。例えば、1週間よりも5日、5日よりも3日交換という具合です。
なぜ、こういうことができるかと言うと、マウスピースを早く交換すると、痛みが強くなる為に普通はできないのですが、当院では痛みを抑える為に特別な装置を使っているからです。
その装置は、シュアスマイルVProといいます。

▲シュアスマイルVPro
シュアスマイルVProの高周波振動によって、歯の周りの骨が活性化(骨のリモデリングの促進)されて、歯自体が速く動く。
当院では、このシュアスマイルVProを低価格でご提供しています。


矯正治療というのは、非常に奥が深くて難しいんです。矯正治療の基本はワイヤー矯正です。ワイヤーで歯を動かす知識が矯正治療の大前提なんです。
その知識を持ってるのが日本矯正歯科学会の矯正歯科認定医です。
マウスピース矯正の知識しか持たない一般歯科医がマウスピース矯正を行った場合、上手く治らないことも多く、失敗するケースもあります。
また、失敗してもフォローすることができないという大問題があり、患者さんは泣き寝入りになってしまいます。
派手にインスタ等にアップしてる認定医のいない歯科医院は、キレイに治った症例だけをアップしてますので、「うのみ」にはしないで下さい。
フォローにはワイヤー矯正じゃないとできない場合も多々あります。
ですので結論は、ワイヤー矯正もできる矯正認定医が在籍してる医院で必ず治療を受けて下さい。


当院は、
マウスピース矯正だけでなく、ワイヤー矯正(表・裏)もできますし、外科矯正もできます。
すべての治療法ができるので、一人ひとりに合った最適な治療方法をご提案できます。
マウスピースしかできない歯科医院では、マウスピースの矯正のことばかり説明して、ワイヤーや外科矯正など他の治療法は説明をあまりしないばかりでなく、それらの治療法の欠点を強調します。
その理由は、マウスピース矯正の知識しかなく他の治療法ができないからです。
この事は、例えば外科医が自分ができない手術を否定するのと似ています。


当院は、矯正専門医が数十名在籍していますが、完全担当医制になっており、担当医が最後まで責任を持って治療致しますので安心して頂けます。
また、虫歯治療や、かぶせ物の治療もそれぞれの専門医が在籍してますので、院内ですべて行う事ができ、安心ですし、他院に行く手間もかかりません。


矯正治療は、費用も時間もかかる大事な治療です。また、治療の結果、歯並びが確実にキレイになり、美人・男前にならないといけません。
ですので、矯正相談は複数の医院あるいは、医師の意見を聞かれた方が良いです!
当院では、他の医院で聞かれた治療方針が妥当かどうか、他にもっと良い治療方法がないか、あなたが希望されてる治療法ができるかどうかなどを、あなたの為に本当に親身になってご相談にのります。
もちろん、相談したからといって、当院で治療をしないといけないわけでは全然ありません。
当院は、矯正で迷っておられる方を救いたいという純粋な思いで、「セカンドオピニオン歓迎」という制度を設けています。
お気軽にご相談くださいね。
また、他の医院で治療中の方にはのりかえ引き制度も行っています!

当院では、上記のような方の治療を引き継いでいます。普通は、他の医院で治療が上手くいってない場合に、治療をやり直すのは、技術的に難しいため、一般の医院では嫌がられます。
ただ当院では、現在治療中の医院の、治療の方法や進行具合を精査して、本当に医院を変えてでも引き継いだ方が患者さんのメリットになると判断した場合は、治療の引継ぎをお受け致しております。
(医院を変えない方が良い場合とか、変える必要がない場合はきちんとご説明します)
具体的には

費用は、当院の費用から10%引かせて頂きます。(転勤や引っ越し等での転院の場合は、治療の進行具合によって、割引します)


「iTero Element」は歯型取りを行うための口腔内スキャナーです。
型取りの気持ち悪さもなく、短時間で精密にお口をスキャンし、データ化できます。

実際に自分の歯がどんな風に治るのかはすごく気になりますよね!
当院では、治療後に実際にどうなるかを3Dを用いて立体的にシミュレーションしていますので、何より安心できます。


他の医院でインビザラインでは治療ができないのでワイヤーの矯正になると言われた方も、当院ではほとんどのケースでインビザラインで治療が可能です。
他院で、ワイヤーじゃないと無理と言われた方でインビザラインでされたいという方は必ずおっしゃって下さいね。
また、大人の矯正では抜歯を行う場合が多いのですが、当院では出来る限り非抜歯で行います。
他院で抜歯をしないといけないと言われた方で、どうしても抜きたくないという方は、当院に是非ご相談ください。絶対ではありませんが極力抜歯なしで対応いたします。


ほうれい線が深い方や、左右で長さが違う方は、歯のかみ合わせを変えることで、ほうれい線が浅くなったり、左右差がなくなったりします。
歯のかみ合わせを高くすることによって、しわができにくくなります。
また、歯並びのアーチを拡げることによって、アーチを広くしてほっぺたに張りを持たせると、ほうれい線が薄くなります。(特に、糸切り歯の辺りを横に拡げる)

歯のかみ合わせが低いとほうれい線ができますが、特に左右どちらかのかみ合わせだけが低い場合は、左右差がでます。また、かみ合わせが低くなってる方に、顔もゆがんでしまいます。
⇒低い方のかみ合わせを高くしてあげることによって治します。


当院ではホワイトニングジェルを無料で差し上げておりますので安心です。
インビザラインのマウスピースに専用のホワイトニングの薬剤を入れて、歯に装着します。
そうすると、マウスピースを入れている間についでに同時に歯のホワイトニングができてしまうんです。
歯並びがキレイになって、さらに歯も白くなって本当にキレイな歯になります!
【治療内容】ホワイトニングジェルを流しこんだマウスピースを歯に装着して、歯を白くします。
【費用】ホームホワイトニング 0円
【リスク】歯が白くなっても、何もしなければ2〜3年で元に戻ります。後戻りを防ぐには専用の歯磨き剤で歯ブラシしていただく必要があります。
※ホワイトニングは保険が適用されない自由診療です


当院では症例に応じてクリニカルスピーカーが、コンピュータ画像での治療計画の3Dシミュレーション(クリンチェック)を行います。
クリニカルスピーカーとは、アラインテクノロジー社公認のインビザラインを指導する立場のドクターです(日本で12名在籍)。
クリニカルスピーカーがクリンチェックを行うことで、更に精密な治療計画と歯のコントロールを行うことが可能になります。


当院では、インビザライン治療をしようかどうか迷っている方のために、無料でカウンセリングを行っております。
実際に歯列矯正されるかどうかは、検査後の結果を聞かれてからお決め頂けますので、お気軽にご相談くださいね。実際の費用を聞いてから、歯列矯正をするかどうか決められます。


当院ではインフォームドコンセント(説明と同意)を徹底して行っております。特にインビザラインのように期間や費用がかかるような治療については、メリットばかりではなく、デメリットもきちんとご説明し、十分に納得頂いてから治療にはいるようにしております。
患者さんに安心していただき、またこちらも信頼されるよう努力しております。


▲取り外し可能な透明のマウスピースで
歯並びを治します。


▲装着した様子
透明なので目立たず、ほとんど気付かれることはありません。

歯並びを治したいけれど、
「矯正治療中の見た目が気になる」「接客業なのでワイヤーを付けられない」
という方にもおすすめの矯正方法です。

患者さん自身で取り外しができます
いつでも自分で取り外し可能なので、
お食事の時は外して何でも普段通りに食べられます。
取り外したマウスピースは洗えますので、
歯、装置ともに衛生的です。

口内を傷つけず、快適な装着感で痛みが少ない
マウスピースの装着時、
最初は締めつけられる感覚がありますが、
数時間後にはそれがなくなります。
ワイヤーが口内の粘膜や舌に当たって出血したり、
ブラケットが外れるといったトラブルもないので、
快適に過ごせます。



デンタルローンにより最大120回まで の分割払いに対応したプランです。
金利手数料は実質年率3.6%とお安く設定されております。
当院独自ではありませんが、当然各種クレジットカードもご利用いただけます。

無料カウンセリング受付中
矯正するか迷っている方も、
まずは話すだけでも大丈夫。
初診相談
0円
あなたの歯並びに合う治療方法をご提案
費用や期間も、その場でわかります


インビザラインGo
上下(全顎)¥390,000(税込¥429,000)
| 分割回数 | 1回目以降(税込) | 最終回(税込) |
|---|---|---|
| 60回 | 7,823 | 7,821 |
| 84回 | 5,785 | 5,761 |
| 120回 | 4,262 | 4,239 |
●金利3.6% 390,000円(税抜)の場合
インビザライン イージーケース2(マウスピース14枚程度)
上下(全顎)¥485,000(税込¥533,500)
| 分割回数 | 1回目以降(税込) | 最終回(税込) |
|---|---|---|
| 60回 | 9,729 | 9,710 |
| 84回 | 7,194 | 7,197 |
| 120回 | 5,300 | 5,311 |
●金利3.6% 485,000円(税抜)の場合
上か下(片顎)¥445,000(税込¥489,500)
| 分割回数 | 1回目以降(税込) | 最終回(税込) |
|---|---|---|
| 60回 | 8,926 | 8,946 |
| 84回 | 6,601 | 6,568 |
| 120回 | 4,863 | 4,855 |
●金利3.6% 445,000円(税抜)の場合
インビザライン イージーケース3(マウスピース26枚程度)
上下(全顎)¥575,000(税込¥632,500)
| 分割回数 | 1回目以降(税込) | 最終回(税込) |
|---|---|---|
| 60回 | 11,534 | 11,543 |
| 84回 | 8,529 | 8,529 |
| 120回 | 6,284 | 6,244 |
●金利3.6% 575,000円(税抜)の場合
上か下(片顎)¥520,000(税込¥572,000)
| 分割回数 | 1回目以降(税込) | 最終回(税込) |
|---|---|---|
| 60回 | 10,431 | 10,421 |
| 84回 | 7,713 | 7,729 |
| 120回 | 5,683 | 5,630 |
●金利3.6% 520,000円(税抜)の場合
インビザライン上下(全顎)¥790,000(税込¥869,000)
| 分割回数 | 1回目以降(税込) | 最終回(税込) |
|---|---|---|
| 60回 | 15,847 | 15,853 |
| 84回 | 11,718 | 11,756 |
| 120回 | 8,633 | 8,697 |
●金利3.6% 790,000円(税抜)の場合
お支払方法についてはお気軽にご相談ください
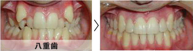
【治療内容】インビザラインを装着し歯並びを治しました。
【費用】インビザライン 月々 3,934円〜
【リスク】インビザラインを1日22時間入れなければいけないため、ちゃんと入れていただけない方はちゃんと治療が進みません。
インビザラインに関するご質問・お悩みなど、
どんな小さなことでも丁寧にお答えしますので、お気軽にご予約くださいね。
当院は、
三宮 ミント神戸
三宮 神戸マルイ
西宮
梅田
なんば
天王寺
心斎橋
京橋
吹田
豊中
高槻
茨木
にあります。

当院では、iTero Elementを導入しました。
今までインビザラインの型取りをする時は、お口の中に直接器具を入れて歯形を取っていました。iTero(アイテロ)はお口をスキャンしてデータ化するだけです。
これによりシリコンの型取りで気持ち悪くなることもなく、短時間で精密にお口をスキャンし、データ化できます。
【今までの 型取り】

気持ち悪い…えずく…
今までのインビザラインの型取りをする時は、お口の中に直接トレーという器具をいれて歯形を取っていました。

【当院の iTeroでのスキャン】

気持ち悪くない!えずきにくい!
iTeroは特殊な光を歯に当てるだけで、お口の中をデジタルで完全に再現することができます。
1. 歯型を取る時の気持ち悪さがない!
普通はシリコンという材料で型を取りますが、その場合、嘔吐反射のある方(えずきやすい方)は大変な思いをします。iTeroなら光を当てるだけなので、歯型を取る時の気持ち悪さがありません。

2. 歯型を取る時間が掛からない
シリコンという材料で型を取る場合は、トレーのサイズを合わせたり、シリコンが固まるまで時間が掛かりますが、iTeroならすぐ終わります。

3. 歯型が正確
歯型を普通に取るよりも、iTeroはデジタル撮影なのでより正確に型が取れますので、歯も動きやすくなりました。


▲シュアスマイルVPro
シュアスマイルVProは、高周波振動という技術を利用しています。
マウスピースを装着した状態でVProを軽く噛むと、微細で安全な振動が歯と歯の周りの骨に伝わります。
矯正治療には2〜3年の治療期間がかかります。それは、歯根周辺の骨の再生に時間を要するため、歯の移動を加速させるのは難しいとされていたからです。
しかし、シュアスマイルVProの高周波振動が歯の周りの血流を促進し、骨のリモデリング(骨の代謝回転)を活性化させます。
歯は、歯を支える骨が溶けたり(骨吸収)、新しく作られたり(骨添加)することで動きます。シュアスマイルVProの振動は、この骨の代謝を活発にすることで、歯の移動をスムーズにし、結果として矯正期間の短縮を可能にするのです。
インビザラインに関するご質問・お悩みなど、
どんな小さなことでも丁寧にお答えしますので、お気軽にご予約くださいね。
当院は、
三宮 ミント神戸
三宮 神戸マルイ
西宮
梅田
なんば
天王寺
心斎橋
京橋
吹田
豊中
高槻
茨木
にあります。
無料初診カウンセリングから治療終了までの
インビザラインの治療の流れをご紹介します。

初診の矯正ドクターのカウンセリングです(費用は無料です)。
まずは現在の歯並びについてお悩みをお聞きします。治療に関するご不安などなんでもお話しください。
患者さんの治療に関するご要望と歯の状態から、患者さんに合った治療方法をご提案します。
インビザラインでの治療方法や注意事項などを詳しくご説明します。初診カウンセリングで説明した内容をご理解いただき、十分納得されてから治療に進むかどうかお決めいただけます。
インビザラインでの矯正を希望され、治療内容・契約内容についてご同意いただいきましたら、インビザラインアライナー作成のため、精密検査のご予約をお取りします。
所要時間は40分程度です




お支払等の手続きの後、精密検査に入ります。ドクターより本日の検査方法の説明を受けます。
セファロレントゲンの撮影、現状の歯の撮影を行い、カウンセリングルームでレントゲン画像を元に今後の治療方針について説明を受けます。
インビザライン作成のため歯型を取ります。最新鋭のiTero(アイテロ)という機械でお口の中をスキャンします。




型取りした歯型またはiTero(アイテロ)でスキャンしたデータをインビザラインのアメリカ本社に送ります。作成された歯の治療シミュレーションを元に矯正歯科医が指示を出し、最終的な設計が出来上がります。
インビザラインの到着までの期間は
2週間〜1ヶ月です

アライナー(マウスピース)が届くと治療開始です。
本日行う治療について説明があります。初めのアライナーを取り付ける前にアライナーをひっかけるためのアタッチメントの取り付けや歯を動かすための隙間を作るスライス、アライナーを取り付ける練習などを行います。



次回の来院までに必要な個数のアライナーをお渡ししますので、ご自宅でインビザラインの交換をしていただきます。1日22時間装着し、2週間ごとに新しいアライナーに交換します。
1日22時間装着
2週間ごとに交換

通常1〜2ヶ月に一度来院していただき、治療の進み具合やお口の中の状態を確認します。次回来院までに必要なアライナーをお渡しします。

全てのアライナーが終了し、歯並びが整うと治療終了です。きれいになった歯並びが後戻りしないよう一定期間保定装置を取り付けていただきます。
インビザラインに関するご質問・お悩みなど、
どんな小さなことでも丁寧にお答えしますので、お気軽にご予約くださいね。
当院は、
三宮 ミント神戸
三宮 神戸マルイ
西宮
梅田
なんば
天王寺
心斎橋
京橋
吹田
豊中
高槻
茨木
にあります。
インビザラインに関するご質問・お悩みなど、どんな小さなことでも丁寧にお答えしますので、お気軽にご相談くださいね。

医療法人真摯会 総院長
医学博士
松本 正洋

三宮クローバー歯科クリニック(ミント神戸院) 院長
坂野 弘子

クローバー歯科クリニック神戸マルイ院 院長
今福 京(たかし)

西宮クローバー歯科・矯正歯科 院長
廣石 勝也




松本歯科大学卒業 松本歯科大学大学院卒業
2007年 松本歯科大学卒業
国立徳島大学歯学部卒業
2004年 国立徳島大学 歯学部 歯学科入学







クローバー歯科クリニックは、
神戸矯正歯科グループ併設の
矯正歯科クリニックです。
お電話かネットからご予約ください。
クローバー歯科・矯正歯科
神戸マルイ院
神戸市中央区三宮町1-7-2 神戸マルイ5F
クローバー歯科クリニック神戸マルイ院【矯正相談】
ご予約後メールが届きますので、メールに記載の予診票をカウンセリング前に必ずご入力ください。
わざわざ医院にお越しいただかなくてもお気軽に矯正のオンラインカウンセリングができます。
親切丁寧にご説明します。
診療時間
月〜土
11:00〜13:00/14:00〜20:00
休診日:日・祝

三宮クローバー歯科・矯正歯科
(ミント神戸院)
神戸市中央区雲井通7-1-1 ミント神戸15F

西宮クローバー歯科・矯正歯科
日曜日もやっています
兵庫県西宮市高松町8-25
阪急西宮ガーデンズ プラス館3階
西宮院【矯正相談】
西宮院【小児矯正相談(12歳以下)】
ご予約後メールが届きますので、メールに記載の予診票をカウンセリング前に必ずご入力ください。
わざわざ医院にお越しいただかなくてもお気軽に矯正のオンラインカウンセリングができます。
親切丁寧にご説明します。
診療時間
月〜日
9:00〜13:00/14:00〜20:00
休診日:祝日のみ

当院は梅田には4医院ございます。
梅田クローバー歯科・矯正歯科
日曜日もやっています
大阪市北区梅田1-1-3-1800 大阪駅前第3ビル18F
梅田クローバー歯科クリニック【矯正相談】
梅田クローバー歯科クリニック【小児矯正相談(12歳以下)】
ご予約後メールが届きますので、メールに記載の予診票をカウンセリング前に必ずご入力ください。
わざわざ医院にお越しいただかなくてもお気軽に矯正のオンラインカウンセリングができます。
親切丁寧にご説明します。
診療時間
月〜日
9:00〜13:00/14:00〜20:00
休診日:祝日のみ
梅田クローバー歯科・矯正歯科アネックス
日曜日もやっています
大阪市北区梅田1-1-3-1800 大阪駅前第3ビル18F
梅田クローバー歯科・矯正歯科アネックス【矯正相談】
梅田クローバー歯科・矯正歯科アネックス【小児矯正相談(12歳以下)】
ご予約後メールが届きますので、メールに記載の予診票をカウンセリング前に必ずご入力ください。
わざわざ医院にお越しいただかなくてもお気軽に矯正のオンラインカウンセリングができます。
親切丁寧にご説明します。
診療時間
月〜日
9:00〜13:00/14:00〜20:00
休診日:祝日のみ
カトレア歯科矯正歯科・美容
クリニック
(クローバー歯科クリニックイーマ院)
大阪府大阪市北区梅田1-12-6 E-ma(イーマ)6階
歯科Tel.カトレア歯科矯正歯科・美容クリニック【矯正相談A】
カトレア歯科矯正歯科・美容クリニック【矯正相談B】
※相談数が多いためA・Bに分かれていますが内容は同じです。
まずAで空き状況をご確認の上、ご希望の日付がなければBもご確認ください。
ご予約後メールが届きますので、メールに記載の予診票をカウンセリング前に必ずご入力ください。
わざわざ医院にお越しいただかなくてもお気軽に矯正のオンラインカウンセリングができます。
親切丁寧にご説明します。
美容Tel.(輪郭手術はこちらにお電話ください)
カトレア歯科矯正歯科・美容クリニック【輪郭手術相談】
診療時間
月〜土
9:00〜13:00/14:00〜20:00
休診日:日・祝
梅田茶屋町クローバー歯科・矯正歯科
大阪市北区茶屋町15-22 アーバンテラス茶屋町C棟4階
ご予約後メールが届きますので、メールに記載の予診票をカウンセリング前に必ずご入力ください。
わざわざ医院にお越しいただかなくてもお気軽に矯正のオンラインカウンセリングができます。
親切丁寧にご説明します。
診療時間
月〜土
9:00〜13:00/14:00〜20:00
休診日:日・祝
なんばクローバー歯科・矯正歯科
日曜日もやっています
大阪市浪速区湊町1-2-3 マルイト難波ビル3F
ご予約後メールが届きますので、メールに記載の予診票をカウンセリング前に必ずご入力ください。
わざわざ医院にお越しいただかなくてもお気軽に矯正のオンラインカウンセリングができます。
親切丁寧にご説明します。
診療時間
月〜日
9:00〜13:00/14:00〜20:00
休診日:祝日のみ

クローバー歯科・矯正歯科
あべの天王寺院
日曜日もやっています
大阪府大阪市阿倍野区阿倍野筋1-2-30 あべのHoop4F
診療時間
月〜日
9:00〜13:00/14:00〜20:00
休診日:祝日のみ

心斎橋クローバー歯科・矯正歯科
大阪市中央区心斎橋筋1-4-29 ココテラス心斎橋4F
診療時間
月〜土
9:00〜13:00/14:00〜20:00
休診日:日・祝

京橋クローバー歯科・矯正歯科
日曜日もやっています
大阪府大阪市都島区東野田町2-6-1 コムズガーデンB1階
京橋院【矯正相談】
ご予約後メールが届きますので、メールに記載の予診票をカウンセリング前に必ずご入力ください。
わざわざ医院にお越しいただかなくてもお気軽に矯正のオンラインカウンセリングができます。
親切丁寧にご説明します。
診療時間
月〜日
9:00〜13:00/14:00〜20:00
休診日:祝日のみ

クローバー歯科・矯正歯科
豊中駅前院
大阪府豊中市玉井町1-1-1 エトレ豊中3F
クローバー歯科豊中駅前院【大人の歯列矯正のご相談】
クローバー歯科豊中駅前院【子どもの歯列矯正のご相談】
ご予約後メールが届きますので、メールに記載の予診票をカウンセリング前に必ずご入力ください。
わざわざ医院にお越しいただかなくてもお気軽に矯正のオンラインカウンセリングができます。
親切丁寧にご説明します。
診療時間
月〜土
9:00〜13:00/14:00〜20:00
休診日:日・祝

クローバー歯科・矯正歯科
豊中駅前アネックス
大阪府豊中市玉井町1-1-1 エトレ豊中4F
クローバー歯科豊中駅前アネックス【矯正相談】
クローバー歯科豊中駅前アネックス【小児矯正相談(小学生以下)】
ご予約後メールが届きますので、メールに記載の予診票をカウンセリング前に必ずご入力ください。
わざわざ医院にお越しいただかなくてもお気軽に矯正のオンラインカウンセリングができます。
親切丁寧にご説明します。
診療時間
月〜土
9:00〜13:00/14:00〜20:00
休診日:日・祝

まつもと歯科・矯正歯科(吹田本院)
大阪府吹田市山田東2-1-1
まつもと歯科【矯正相談】
ご予約後メールが届きますので、メールに記載の予診票をカウンセリング前に必ずご入力ください。
わざわざ医院にお越しいただかなくてもお気軽に矯正のオンラインカウンセリングができます。
親切丁寧にご説明します。
診療時間
月〜土
9:00〜13:00/14:00〜20:00
休診日:日・祝


高槻クローバー歯科・矯正歯科
大阪府高槻市高槻町12-23 ワキタビル2階
高槻院は現在裏側矯正を行っておりません
高槻院【矯正相談A】
高槻院【矯正相談B】
※相談数が多いためA・Bに分かれていますが内容は同じです。
まずAで空き状況をご確認の上、ご希望の日付がなければBもご確認ください。
高槻院【小児矯正相談(12才以下) A】
高槻院【小児矯正相談(12才以下) B】
※相談数が多いためA・Bに分かれていますが内容は同じです。
まずAで空き状況をご確認の上、ご希望の日付がなければBもご確認ください。
診療時間
月〜土
9:00〜13:00/14:00〜20:00
第2・第4日曜
9:00〜13:00/14:00〜18:00(矯正歯科のみ)
休診日:日・祝(矯正歯科のみ第2・第4日曜診療)

茨木クローバー歯科・矯正歯科
茨木市松ケ本町8-30 イオンモール茨木2階
茨木院【矯正相談(平日)】
茨木院【矯正相談(土曜日)】
ご予約後メールが届きますので、メールに記載の予診票をカウンセリング前に必ずご入力ください。
わざわざ医院にお越しいただかなくてもお気軽に矯正のオンラインカウンセリングができます。
親切丁寧にご説明します。
診療時間
月〜土
10:00〜13:20/14:20〜19:00
休診日:日・祝
