












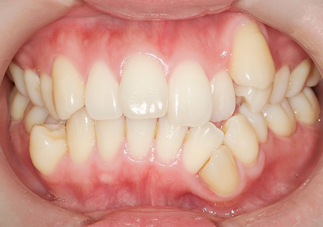
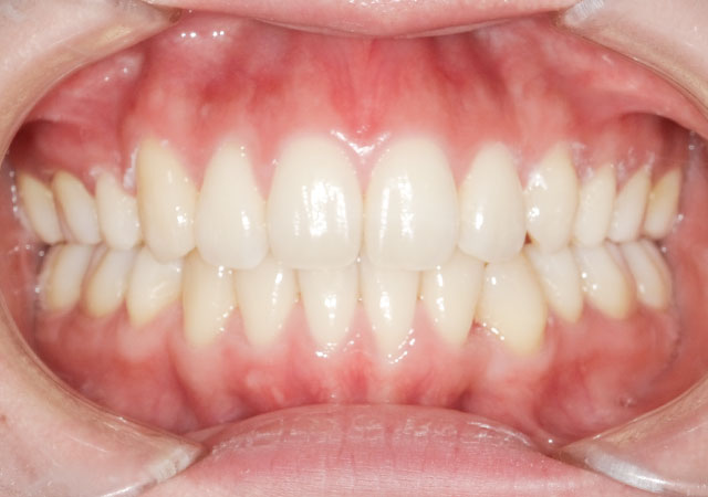
▲ 矯正実績西日本一の
神戸矯正歯科グループの症例です
八重歯の矯正治療には、
以下の4つの方法があります。
こんなにキレイに八重歯は治るんですが、色々ご心配があると思います。
@「矯正したいけど時間がかかりそう」
A「費用も心配」
B「見た目が心配」
C「本当に良い医院でしたい」
D「抜歯が怖い」
という不安を持っておられます。
全部ご説明しますね。
当院では、治療期間を短縮するために様々な工夫をしています。
1. 歯ぐきに高周波振動を当てて歯の動きを早くしてる。

▲「シュアスマイルVPro」という高周波振動装置
2. 治療のスタート前から歯を動かす順番や距離を精密にシミュレーションし、綿密な計画を立てて歯の動き自体を最短の移動距離にし、無駄をなくしてる
3. 専用のアプリで治療の進み具合を管理してるので、確実に歯が動く(導入してない分院もあり)
4. 矯正治療が長くなる原因のひとつは、予約が取りづらくて通院が伸びてしまうこと。
当院は矯正歯科医が多数在籍し、平日も土日も夜8時まで診療しているため、予約が取りやすくスムーズに治療が進みます。(日曜休みの分院もあり)
一人ひとりの患者さんに合った最も費用のかからない治療方法をご説明してるので治療費に無駄がなく安心です。
当院の費用は大阪では中くらいかそれよりほんの少しだけ高いくらいですが、時間や費用の不安を軽くし、「それなら私でもできるかも」と感じていただけるようサポートいたします。また、矯正認定医や専門医が治療することや、治療実績が日本一なので安心確実という意味でもその価値は十分にあります。
矯正装置が目立って恥ずかしいのでは…と不安に思う方も多いかと思います。当院ではそんなお気持ちに寄り添い、透明なマウスピース矯正装置を採用しています。
透明な装置は装着していても周囲に気づかれにくいため、治療中も見た目を気にせずお過ごしいただけます。職場や人前でも今まで通り自信を持って笑えるような治療をしています。
またワイヤー治療もしてますので、ワイヤーご希望の方にも対応できます。当院のワイヤー治療はブラケットもワイヤーも白い物を使ってますので、やはり目立ちにくいです。

当院は、14名の「日本矯正歯科学会認定医」をはじめ、「マウスピース矯正認定医」が治療を行い、日本最多の症例実績を誇ります(マウスピースだけだと西日本一)。だから確実に安心できます。
(ただ矯正歯科認定医の名前ですが、当院のホームページには載せてないんです。
その理由をご説明します。日本矯正歯科学会はワイヤーでの治療を矯正治療の根幹と考えており、インビザラインのようなマウスピースによる矯正治療を、学会として正式に認めておらず、マウスピース矯正を積極的に行うことに対して難色を示しています。
当グループの認定医はインビザラインの治療に自信を持って積極的に行っているため、学会の意図と合わず、HP上に認定医の名前を載せてしまうのは難しい為、載せてないです。
ですので、当院のホームページには認定医の名前を載せていませんが、確実に14名在籍しておりますので、どうぞご安心下さい。)

また、世界的に権威のあるマウスピース矯正「インビザライン」で、最高位クラスの
「パープルダイヤモンド」を受賞しています(※1500症例以上で認定/当院は2620症例)。
この実績は、日本全国でも数えるほどの医院しか取得していません。

また、グループ全体では1989年からの累計で71,294人以上の矯正治療実績があり、 2025年の“1年間”だけで初診相談に訪れた患者様は8,120人にのぼりますので確実に安心して頂けます。
当院でなるべく抜歯を避ける治療法をしています。やり方は、経験・熟練が必要ですが奥歯を奥の方へ送り、またそれぞれの歯の間を0.25mmほどスリムにして矯正を行う事が可能です。
(もちろん抜歯をしないといけない場合、あるいはした方が良い場合もありますのでその時は丁寧にご説明します)



デンタルローンにより最大120回まで の分割払いに対応したプランです。
金利手数料は実質年率3.6%とお安く設定されております。
当院独自ではありませんが、当然各種クレジットカードもご利用いただけます。









無料カウンセリング受付中
矯正するか迷っている方も、
まずは話すだけでも大丈夫。
初診相談
0円
あなたの歯並びに合う治療方法をご提案
費用や期間も、その場でわかります
ワイヤーを使った八重歯・ガタガタ矯正
| 内容 | 治療費(税抜) | ||||||||||||
|---|---|---|---|---|---|---|---|---|---|---|---|---|---|
| 部分矯正(MTM) | |||||||||||||
部分矯正(銀色のワイヤー) |
【上か下(片顎)】 (前歯4〜8歯のみ) 260,000円 +消費税 分割プランはこちら
●金利3.6% 260,000円(税抜)の場合 |
||||||||||||
部分矯正(ホワイトワイヤー) |
【上か下(片顎)】 (前歯4〜8歯のみ) 280,000円 +消費税 分割プランはこちら
●金利3.6% 280,000円(税抜)の場合 |
||||||||||||
部分矯正(裏側矯正) |
【上か下(片顎)】 (前歯4〜8歯のみ) 490,000円 +消費税 分割プランはこちら
●金利3.6% 490,000円(税抜)の場合 |
||||||||||||
| ワイヤー矯正(普通矯正) | |||||||||||||
![]() 【表側矯正】 |
【上下(全顎)】 750,000円 +消費税 分割プランはこちら
●金利3.6% 750,000円(税抜)の場合 |
||||||||||||
| 【上か下(片顎)】 480,000円 +消費税 分割プランはこちら
●金利3.6% 480,000円(税抜)の場合 |
|||||||||||||
| ホワイトワイヤー矯正 | |||||||||||||
![]() 【表側矯正】 |
【上下(全顎)】 795,000円 +消費税 分割プランはこちら
●金利3.6% 795,000円(税抜)の場合 |
||||||||||||
| 【上か下(片顎)】 490,000円 +消費税 分割プランはこちら
●金利3.6% 490,000円(税抜)の場合 |
|||||||||||||
| <オプション>インダイレクトボンディング | |||||||||||||
![]() 【オプション】 |
【上下(全顎)】 ¥60,000 +消費税 |
||||||||||||
| 【上か下(片顎)】 ¥30,000 +消費税 |
|||||||||||||
※虫歯治療や抜歯、歯のクリーニング、定期健診などの治療費用は、別途(保険診療)となります。
マウスピース矯正(透明な取り外し式で目立たない八重歯・ガタガタ矯正)
| 内容 | 治療費(税抜) | ||||||||||||
|---|---|---|---|---|---|---|---|---|---|---|---|---|---|
| マウスピース部分矯正(前歯のみ) | |||||||||||||
|
【インビザラインGo】
前歯のみの矯正になります。適応かどうかは歯科医師にご相談ください。 |
【上下(前歯)】 390,000円 +消費税 分割プランはこちら
●金利3.6% 390,000円(税抜)の場合 |
||||||||||||
| マウスピース部分矯正 | |||||||||||||
|
【インビザライン イージーケース2】
気になる部分だけの矯正になりますが、前歯を多く動かす場合に適用になります。マウスピースが14枚程度の場合に行います。適応かどうかは歯科医師にご相談ください。 |
【上下(全顎)】 485,000円 +消費税 分割プランはこちら
●金利3.6% 485,000円(税抜)の場合 |
||||||||||||
| 【上か下(片顎)】 445,000円 +消費税 分割プランはこちら
●金利3.6% 445,000円(税抜)の場合 |
|||||||||||||
|
【インビザライン イージーケース3】
気になる部分だけの矯正になりますが、前歯をより多く動かす場合に適用になります。マウスピースが26枚程度の場合に行います。適応かどうかは歯科医師にご相談ください。 |
【上下(全顎)】 575,000円 +消費税 分割プランはこちら
●金利3.6% 575,000円(税抜)の場合 |
||||||||||||
| 【上か下(片顎)】 520,000円 +消費税 分割プランはこちら
●金利3.6% 520,000円(税抜)の場合 |
|||||||||||||
| インビザライン全体矯正 | 【上下(全顎)】 790,000円 +消費税 分割プランはこちら
●金利3.6% 790,000円(税抜)の場合 |
||||||||||||
![]() 【インビザライン】
透明なマウスピース型の装置を使用します。 装着などの取り外しが可能で、目立たない歯並び矯正として人気です。 |
|||||||||||||
| マウスピース・ワイヤー併用 | |||||||||||||
|
【インビザライン・ワイヤー併用】
マウスピース型の装置とワイヤーを併用して治療を行います。 |
【上下(全顎)】 860,000円 +消費税 分割プランはこちら
●金利3.6% 860,000円(税抜)の場合 |
||||||||||||
| 矯正加速装置 | |||||||||||||
![]() 【シュアスマイルVPro】
シュアスマイルVProは歯の移動を促進し、治療期間を短縮するために開発された矯正加速装置です。 |
【患者様限定価格】 ¥98,800 +消費税 |
||||||||||||
※虫歯治療や抜歯、歯のクリーニング、定期健診などの治療費用は、別途(保険診療)となります。
子どもの矯正
| 内容 | 治療費(税抜) | ||||||||||||
|---|---|---|---|---|---|---|---|---|---|---|---|---|---|
| 子ども矯正【1期治療】 | |||||||||||||
| 管理料¥0 | |||||||||||||
![]() 【乳歯列期・混合歯列期】 |
【上下(全顎)】 ¥460,000 +消費税 分割プランはこちら
●金利3.6% 460,000円(税抜)の場合 |
||||||||||||
| インビザラインファースト【1期治療】 | |||||||||||||
| 管理料¥0 | |||||||||||||
![]() 【乳歯列期・混合歯列期】 |
¥510,000 +消費税 分割プランはこちら
●金利3.6% 510,000円(税抜)の場合 |
||||||||||||
| プレオルソ・T4Kなど | |||||||||||||
| 管理料¥0 | |||||||||||||
![]() <マウスピース型> ※乳歯列期から1期治療へ移行する場合、1期治療費を8万円減額。 |
¥160,000 +消費税 |
||||||||||||
| 子ども矯正【2期治療】 | |||||||||||||
| 管理料は大人の矯正に準じます。 | |||||||||||||
|
【永久歯列期】大人の矯正から一律40万円を減額した額となります。 |
|||||||||||||
| ムーシールド | |
| 管理料¥0 | |
![]() 【3才ごろから】 (1期治療へ移行する場合の費用は1期費用から8万円を差し引いた金額となります。) |
¥160,000 +消費税 |
矯正治療はある程度費用がかかります。
もちろん安い方が良いに決まってますが、安易に安い医院を選ぶのは危険です。
安い医院には必ず、安いなりの理由があります。






とかです。
まとめ
当院は、常に矯正治療の勉強をしていて、最先端の知識を吸収し、治療の仕上がりが良い矯正治療を行っています。
担当する歯科医師も経験をたくさん積んだ上で治療にあたっています。矯正治療の実績は断トツ日本一ですのでどうぞ安心されて下さいね。
▲当院のドクター勉強会の様子でも費用がかかると支払いができないという問題が出てきます。
そこで、当院では、治療の質を落とすことなくお支払いを楽にする独自の方法を行っています。



当院は、世界的に権威のあるマウスピース矯正「インビザライン」で、
7年連続「パープル・レッドダイヤモンド」を受賞しています
(※パープルは1500症例以上で認定/当院は2620症例)。
この実績は、日本全国でも数えるほどの医院しか取得していません。
また、グループ全体では1989年からの累計で71,294人以上の矯正治療実績があり、 2025年の“1年間”だけで初診相談に訪れた患者様は8,120人にのぼります。
経験と実績があるからこそ、あなたに合った治療方法を丁寧にご提案できます。
はじめての方も、安心してご相談ください。

神戸矯正歯科グループは、日本で最も長くインビザライン治療を提供してきた医院として、インビザライン・ジャパンならびに米国アライン・テクノロジー本社から第1位の表彰を受けました。
日本での導入初期から数多くの症例に携わってきた経験を活かし、見た目の美しさはもちろん、噛み合わせや治療後の安定性にも配慮したインビザライン治療をご提案しています。



最近は、マウスピース矯正を取り扱う医院も増えてきましたが、医院によっては対応できる治療法が限られている場合もあります。
当院では、ワイヤー矯正・マウスピース矯正・裏側矯正・部分矯正・輪郭手術(セットバック手術)など、さまざまな治療法に対応しているため、お口の状態やご希望に合わせて、最適な治療方法をご提案することが可能です。
「矯正ってこんな方法もあるんだ」と、気軽にご相談いただけるような雰囲気づくりも大切にしています。


矯正治療が長くなる原因のひとつは、予約が取りづらくて通院が伸びてしまうこと。
当院は矯正歯科医が多数在籍し、土日・夜8時まで診療しているため、予約が取りやすくスムーズに治療が進みます。
さらに、治療のスタート前から歯を動かす順番や量を精密にシミュレーション。 無駄のない動きになるように綿密な計画を立てることで、治療期間の短縮につながっています。
マウスピース矯正では、通常よりも短い間隔での交換(5日や3日ペース)を実施しており、より早く歯が動く仕組みを取り入れています。
これは「シュアスマイルVPro」という装置の高周波振動によって、歯の周りの骨の代謝を高め、痛みを抑えながら動きを促進する技術があるからこそ実現できています。



矯正治療中に虫歯が見つかったり、抜歯が必要になることもありますが、多くの矯正専門医院では、そういった治療を他院に紹介されるケースが少なくありません。
当院では、虫歯治療・抜歯・歯ぐきのケアなども、すべて院内で対応できます。
矯正以外の治療もできるから、わざわざ別の病院に行く必要がなく、通院の負担も少なくて済みます。
「ここだけで全部できる」という安心感も、当院が選ばれている理由のひとつです。


土曜日も朝9時から夜8時まで診療しているので予約が取りやすいです。
万が一キャンセルなどで変更した場合も予約が取りやすいので、治療が計画通りスムーズに進みます。
※医院によって休診日・診療時間が異なります。


インビザラインのマウスピースに専用のホワイトニングの薬剤を入れて、歯に装着します。
そうすると、マウスピースを入れている間についでに同時に歯のホワイトニングができてしまうんです。
歯並びがキレイになって、さらに歯も白くなって本当にキレイな歯になります!
ドクターが八重歯で悩んでいる方のご希望や不安に思っていることをお聞きします。わからないことはどんどんお尋ねください。優しいドクターが凄くていねいにご説明します。
レントゲンや、CT撮影、デジタル分析などで、あなたの歯並びを徹底的に調べ、歯並びや顎の問題点を確認します。
検査結果をもとに、具体的な矯正歯科の方法をご提案します。マウスピースで治るのか、ワイヤーの方が良いのか、セラミック(神戸マルイ院・西宮院のみ)でも良いのかなど、詳しくご説明し、患者様のご希望と現在の歯や顎の状況に合わせて様々な方法から選んでいただけます。
いよいよ開始です。わくわくする矯正の開始です。今からどんどん八重歯が治って歯並びが良くなって行きます、楽しみにしてくださいね。歯並びが変われば人生も変わります。
具体的な、ワイヤーやマウスピースの取り扱い方などは歯科衛生士がていねいにご説明しますね。
1〜2ヶ月に約1回のペースで通院していただきます。
治療期間を経て歯並びがきれいに整ったら矯正終了です。装置を取り外してすぐは歯並びがまだ安定していませんので保定装置を付けていただきます。
キレイな歯並びや健康な歯を保つために定期的にチェックします。
八重歯が目立って思い切り笑えない…
そんなお悩み、抱えていませんか?
そんなお悩み、もう一人で抱え込まなくても大丈夫です!

八重歯が気になって笑えない、人前で話すのが苦手…
そんなことで、自信をなくしちゃうのはもったいない。
早めにケアすることで、そういったモヤモヤも手放せますよ。
「時間やお金が心配」「見た目が不安」「抜歯が怖い」
その気持ち、すごくわかります。
だからこそ、私たちはあなたに寄り添った治療をご提案しています。
八重歯に関するご質問・お悩みなど、どんな小さなことでも丁寧にお答えしますので、お気軽にご相談くださいね。
八重歯はお口が小さいために、歯が並びきらずに飛び出てしまうことによって起こります。なので、治す方法は
の3つになります。
それぞれご説明します。

八重歯の程度があまりきつくない場合は、歯を抜く必要はありません。ただ、そのままで矯正して歯を並べてしまうと出っ歯になってしまうので、1本1本の歯の横幅を減らす必要があります。

スライスといって、歯の両サイドを0.2〜0.5mmくらい削ります。前歯6本についてスライスを行うと、結構スペースを得ることができます。
スライスした後で、矯正を行います。
お口(アゴ)を大きくして八重歯を治す事も可能です。
八重歯がきつい場合は、八重歯のとなりの歯(小臼歯)を抜いて、その結果できたスペースに八重歯を移動させて治します。


歯を抜くということは、患者さんにとってはすごくデメリットに感じるかもしれませんが、八重歯がきつい場合に歯を抜かずに矯正すると、出っ歯になってしまい、かえっておかしくなります。
また、歯を抜いたとしてもその結果、歯並びが良くなりますので、咬む能率が上がり、むし歯や歯周病にもなりにくくなります。
当院では、なるべく抜かない方法で治療を考えています。

歯並びにうるさい欧米では八重歯は「オオカミの歯」「ドラキュラの歯」といわれ、就職に不利、結婚に不利、家庭環境まで疑われることもあるくらいです。
また、八重歯で重なっている部分に歯ブラシが届きにくく、歯磨きがしにくいので虫歯や歯周病になりやすくなります。
治療期間は症状によって変わってきます。
八重歯の程度にもよりますが、目安として前歯全体の歯の重なりの量が、
軽度・・・おおむね前歯の重なり具合が全体で3mmくらいまでの場合です。⇒半年から1年くらい
中度・・・おおむね前歯の重なり具合が全体で5mmくらいまでの場合です。⇒1年くらい
重度・・・おおむね前歯の重なり具合が全体で7mmくらいまでの場合です。⇒1年から1年半くらい
になります。これも目安であり、個人差があります。
一般的に2年くらいかかります。歯が動きやすい方は早ければ1年半くらいで治る時もありますし、動きにくい方は2年半以上かかる可能性もあり得ます。

医療法人真摯会 総院長
医学博士
松本 正洋












三宮クローバー歯科クリニック(ミント神戸院) 院長
坂野 弘子

クローバー歯科クリニック神戸マルイ院 院長
今福 京(たかし)

西宮クローバー歯科・矯正歯科 院長
廣石 勝也



国立 長崎大学歯学部卒業

松本歯科大学卒業 松本歯科大学大学院卒業

国立徳島大学歯学部卒業
2004年 国立徳島大学 歯学部 歯学科入学








クローバー歯科クリニックは、
神戸矯正歯科グループ併設の
矯正歯科クリニックです。
お電話かネットからご予約ください。
三宮クローバー歯科・矯正歯科
(ミント神戸院)
神戸市中央区雲井通7-1-1 ミント神戸15F

クローバー歯科・矯正歯科
神戸マルイ院
神戸市中央区三宮町1-7-2 神戸マルイ5F

西宮クローバー歯科・矯正歯科
日曜日もやっています
兵庫県西宮市高松町8-25
阪急西宮ガーデンズ プラス館3階

当院は梅田には4医院ございます。
梅田クローバー歯科・矯正歯科
日曜日もやっています
大阪市北区梅田1-1-3-1800 大阪駅前第3ビル18F
診療時間
月〜日
9:00〜13:00/14:00〜20:00
休診日:祝日のみ
梅田クローバー歯科・矯正歯科アネックス
日曜日もやっています
大阪市北区梅田1-1-3-1800 大阪駅前第3ビル18F
診療時間
月〜日
9:00〜13:00/14:00〜20:00
休診日:祝日のみ
カトレア歯科矯正歯科・美容
クリニック
(クローバー歯科クリニックイーマ院)
大阪府大阪市北区梅田1-12-6 E-ma(イーマ)6階
歯科Tel.カトレア歯科矯正歯科・美容クリニック【矯正相談A】
カトレア歯科矯正歯科・美容クリニック【矯正相談B】
※相談数が多いためA・Bに分かれていますが内容は同じです。
まずAで空き状況をご確認の上、ご希望の日付がなければBもご確認ください。
美容Tel.(輪郭手術はこちらにお電話ください)
カトレア歯科矯正歯科・美容クリニック【輪郭手術相談】
診療時間
月〜土
9:00〜13:00/14:00〜20:00
休診日:日・祝
梅田茶屋町クローバー歯科・矯正歯科
大阪市北区茶屋町15-22 アーバンテラス茶屋町C棟4階
なんばクローバー歯科・矯正歯科
日曜日もやっています
大阪市浪速区湊町1-2-3 マルイト難波ビル3F

クローバー歯科・矯正歯科
あべの天王寺院
日曜日もやっています
大阪府大阪市阿倍野区阿倍野筋1-2-30 あべのHoop4F

心斎橋クローバー歯科・矯正歯科
大阪市中央区心斎橋筋1-4-29 ココテラス心斎橋4F

京橋クローバー歯科・矯正歯科
日曜日もやっています
大阪府大阪市都島区東野田町2-6-1 コムズガーデンB1階

クローバー歯科・矯正歯科
豊中駅前アネックス
大阪府豊中市玉井町1-1-1 エトレ豊中4F
クローバー歯科豊中駅前アネックス【矯正相談】
クローバー歯科豊中駅前アネックス【小児矯正相談(小学生以下)】
診療時間
月〜土
9:00〜13:00/14:00〜20:00
休診日:日・祝

クローバー歯科・矯正歯科
豊中駅前院
大阪府豊中市玉井町1-1-1 エトレ豊中3F
診療時間
月〜土
9:00〜13:00/14:00〜20:00
休診日:日・祝

まつもと歯科・矯正歯科(吹田本院)
大阪府吹田市山田東2-1-1


高槻クローバー歯科・矯正歯科
大阪府高槻市高槻町12-23 ワキタビル2階
高槻院【矯正相談A】
高槻院【矯正相談B】
※相談数が多いためA・Bに分かれていますが内容は同じです。
まずAで空き状況をご確認の上、ご希望の日付がなければBもご確認ください。
高槻院【小児矯正相談(12才以下) A】
高槻院【小児矯正相談(12才以下) B】
※相談数が多いためA・Bに分かれていますが内容は同じです。
まずAで空き状況をご確認の上、ご希望の日付がなければBもご確認ください。
診療時間
月〜土
9:00〜13:00/14:00〜20:00
第2・第4日曜
9:00〜13:00/14:00〜18:00(矯正歯科のみ)
休診日:日・祝(矯正歯科のみ第2・第4日曜診療)

茨木クローバー歯科・矯正歯科
茨木市松ケ本町8-30 イオンモール茨木2階
