

矯正治療といえばワイヤーを歯に付ける治療を思い浮かべる方も多いと思いますが、当院ではマウスピースを昼間の1時間と夜寝ている間にお口に入れるだけで歯並びを治すを行っています。
プレオルソとT4Kの2種類です







起きている間1時間と寝ている間だけマウスピースを装着します。

マウスピースは柔らかいポリウレタン製ですので装着しても痛みはほとんどありません。お子さんも嫌がらずにつけてくれます。

マウスピースをつけるのは起きている間1時間と寝る時だけです。日中はつけなくてもいいので、幼稚園や学校で見た目を気にすることもありません。

マウスピースは取り外し可能です。食事や歯みがきのときには外せるので、矯正治療中に虫歯になるリスクも少ないです。

マウスピース矯正は装置の調整がほとんどないため一般的な矯正治療よりも通院の頻度が少ないです。


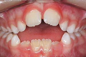
▲口呼吸でポカン口になっています。
現代は柔らかい食べ物が多くなってしっかり噛むことができなくなり、お口の筋肉がゆるんでいることが原因となって「口呼吸」の子供が大変多くなっています。また、アレルギー性鼻炎や扁桃腺が腫れやすいという症状のある子供も増えています。
マウスピース矯正によってお口の周りの筋肉を鍛えられます。そうすると口が閉まりやすくなって「鼻呼吸」を促すことができ、ポカン口もなくなります。

寝ている間はマウスピースが口から出ないように口を閉じてテープを貼ります。
テープを貼ることで口呼吸になってしまうのを予防して、鼻呼吸になるようにします。また、マウスピース矯正の効果を高めることにもなります。
口に貼るテープは「肌にやさしいテープ」「口閉じ専用テープ」「サージカルテープ」などを使用してください。幅は太幅のものがおすすめです。
マウスピース矯正で舌の位置やっぺたの筋肉を鍛えますので、あごの骨が良い方向に成長します。

フッ素入りの歯みがき粉で歯みがきをしてマウスピースをつけると、だ液によってフッ素が流れにくくなり、虫歯予防効果が高くなります。

マウスピース矯正と一緒にあいうべ体操というトレーニングも行っていきます。
あいうべ体操によって舌の位置の改善や口呼吸を鼻呼吸へ促します。舌と口をしっかり動かすトレーニングによって自己免疫力が向上していきます。
自己免疫力が上がると風邪をひきにくくなる・インフルエンザ・花粉症・アトピーなどの症状の改善にも効果的です。

マウスピースを口に入れると指が口の中に入らないので指しゃぶりをするのを防ぐことができます。
指しゃぶりをしないようになるとマウスピース矯正の効果もより上がってきます。


3〜5才の低年齢の受け口(反対咬合)の子供に使用します。
マウスピースを口に入れられれば、治療は開始できます。


乳歯の状態で歯並びが乱れていない場合でも、歯と歯のすき間がなく永久歯が生えるスペースがない場合には治療を開始します。また、下の前歯がガタガタしている場合も治療を開始したほうがいいです。





などの症例にもマウスピース矯正を行います。

歯のねじれなどが大きい子供の場合にはマウスピース矯正で口周りの筋肉の正常化をしてから、プレートや急速拡大装置などの固定式の装置であごを広げる治療を行う必要や、永久歯が生え揃ってからワイヤーを使った矯正(2期治療)も必要になる可能性があります。
1. お口をたてに大きく開けて
2. くちを横に大きく広げて
3. くちをすぼめて
お口の周りの筋肉にギュッと力を入れる
4. 舌を出せるところまで出して
舌を出して戻ったところが
正しい舌の位置です

この体操を1日に30セット行えば効果が出てきます。
1回に30セット行わなくても大丈夫です。朝昼晩3回に分けたり、お風呂に入っている間や寝る前など、毎日の習慣に組み込んだりと工夫して、忘れず続けるようにしましょう。
しっかりと「あ」「い」「う」「べ」の口の形ができていれば、無理に声を出さなくてもよいです。




【治療内容】左上2の反対咬合をマウスピースタイプの装置で治療し、4か月で歯が前に出て症状が改善しました。
【費用】16万円(税抜)
【リスク】顎を拡大する力が弱いため、口腔筋機能の正常化をはかった後に、床矯正装置や固定式の矯正装置で顎を広げる治療が必要になることがあります。
※症例紹介の費用は掲載時点の金額です。治療費用は改定される場合がありますので、最新の料金はお問い合わせください。
歯並びでお悩みの方や歯列矯正に関するご質問などお気軽にご相談ください。
無料初診カウンセリングでは検査結果を元に治療方法・期間・治療費などをご説明します。
LINE相談やメール相談も無料ですので何でもご相談ください。